
Protesi su impianti
All-on-four e all-on-six
Si tratta di sistemi di implantologia innovativi per la mancanza di denti, in grado di risolvere le problematiche estetiche e funzionali con un intervento poco invasivo. Nel primo caso, si applicano quattro impianti (All-on-four) in specifici punti della bocca, mentre nel secondo caso gli impianti sono sei (All-on-six). In entrambe le opzioni, due impianti vengono posizionati in verticale nei settori frontali, mentre gli altri due (o quattro) saranno inclinati nelle zone dei premolari.

Overdenture
Protesi dentale rimovibile, che può essere applicata su 2 o 4 impianti dentali, nella quale presentano all’estremità delle sfere/palline, garantendo tramite l’ancoraggio di guaine (inserite nella protesi removibile) una perfetta stabilità della protesi stessa, quasi al livello di una soluzione fissa. Rimane tuttavia una protesi removibile per effettuare la pulizia, e di conseguenza più economica e con grandi vantaggi. È realizzata in resina e rinforzata in metallo, così da adattarsi perfettamente anche ai pazienti che hanno già perso o stanno perdendo gran parte dei denti. La protesi superiore è priva di palato e, permettendo una migliore masticazione, favorisce anche una migliore digestione. Senza dimenticare che migliora il modo di parlare, infondendo maggiore sicurezza nel paziente.

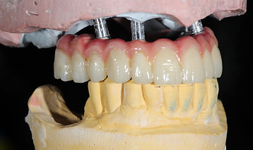
Toronto Bridge
Si tratta di una soluzione per riabilitazioni complete, composta da 12 denti in ceramica, in resina oppure i composito, e fissata mediante monconi ad impianti dentali osteointegrati in titanio. La protesi viene applicata ed assicurata alla parte protesica staccata emergente dalla gengiva attraverso la modalità di avvitamento, riducendo i tempi di applicazione. Gli impianti dentali necessari con questa soluzione sono in numero minore rispetto ai denti mancanti: questa caratteristica, insieme agli altri aspetti della protesi, garantisce numerosi vantaggi, sia con riferimento ai materiali utilizzati, che ai costi ed all’estetica.

